28 333 444 info@elexdent.lv Smiltenes poliklīnika 1. stāvs, Dakteru iela 14
Elexdent Staging
  • Sākums
  • Par Mums
  • Mūsu Darbi
  • Pakalpojumi
  • Cenas
  • Speciālisti
  • Kontakti
28 333 444 info@elexdent.lv Smiltenes poliklīnika 1. stāvs, Dakteru iela 14

Mūsu Darbi

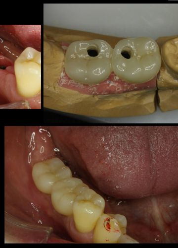
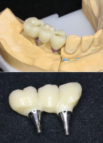
Uz 2 implantiem balstīts metālkeramikas tilts Uz 2 implantiem balstīts metālkeramikas tilts
Sporta trauma Sporta trauma
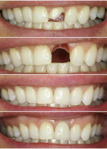
Viena zaudēta zoba atjaunošana Viena zaudēta zoba atjaunošana
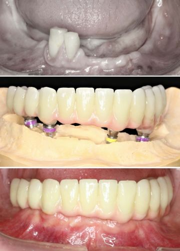
Cirkonijkeramikas konstrukcija uz 4 implantiem Cirkonijkeramikas konstrukcija uz 4 implantiem
Jaunas totālās protēzes Jaunas totālās protēzes
uz 4 implantiem balstīta totālā protēze uz 4 implantiem balstīta totālā protēze
Uz 2 implantiem balstīts cirkonijkeramikas tilts Uz 2 implantiem balstīts cirkonijkeramikas tilts
uz 4 implantiem balstīta apakšžokļa protēze (izņemama) uz 4 implantiem balstīta apakšžokļa protēze (izņemama)
Uz 2 implantiem balstīta izņemamā protēze (akrila) Uz 2 implantiem balstīta izņemamā protēze (akrila)
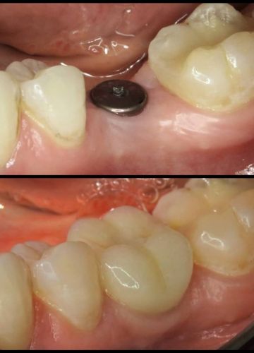
2 implanti + kroņi 2 implanti + kroņi
Uz 2 implantiem balstīta izņemamā protēze (akrila) (2) Uz 2 implantiem balstīta izņemamā protēze (akrila) (2)
uz 4 implantiem balstīta apakšžokļa protēze (izņemama) [klīsikais gadījums  nr2.] uz 4 implantiem balstīta apakšžokļa protēze (izņemama) [klīsikais gadījums nr2.]
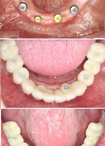
Apakšžokļa visu zobu atjaunošana  - 6 implanti+ metālkeramikas konstrukcija Apakšžokļa visu zobu atjaunošana - 6 implanti+ metālkeramikas konstrukcija
Visas Tiesības Aizsargātas - Elexdent Staging 2026 Izstrādāja IT4Real