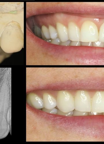
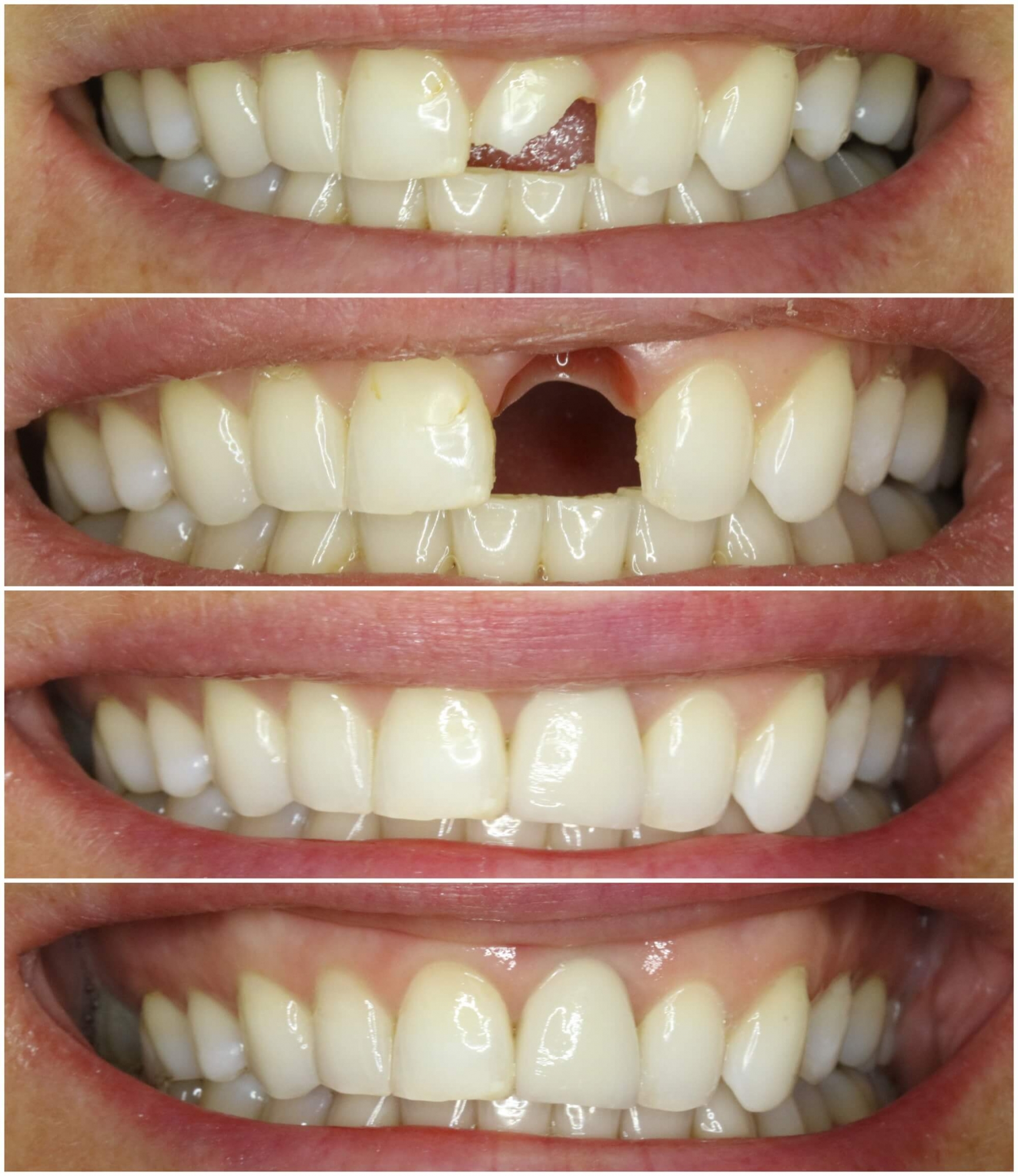
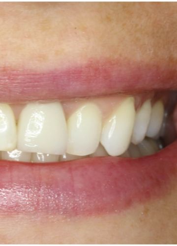
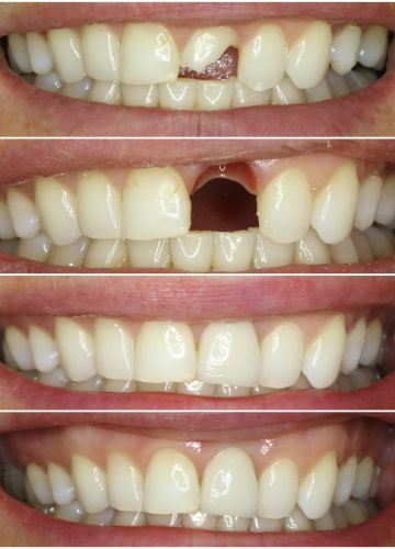
Slāņots cirkonija keramikas kronis + zoba implants

  • Neatjaunojama zoba atraumatiska ekstrakcija (izraušana)
  • Tūlītēja zoba implanta ievietošana un pagaidu kronīša (plastmasa) izgatavošana.
  • Pēc 5 mēnešiem tika izgatavots slāņots cirkonijkeramikas kronis
  • Tika  nomainītas vecās plombas priekšzobu rajonā