28 333 444
info@elexdent.lv
Smiltenes poliklīnika 1. stāvs, Dakteru iela 14
Sākums
Par Mums
Mūsu Darbi
Pakalpojumi
Cenas
Speciālisti
Kontakti
28 333 444
info@elexdent.lv
Smiltenes poliklīnika 1. stāvs, Dakteru iela 14
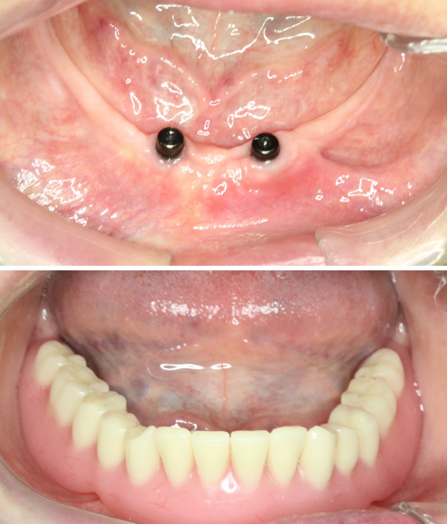
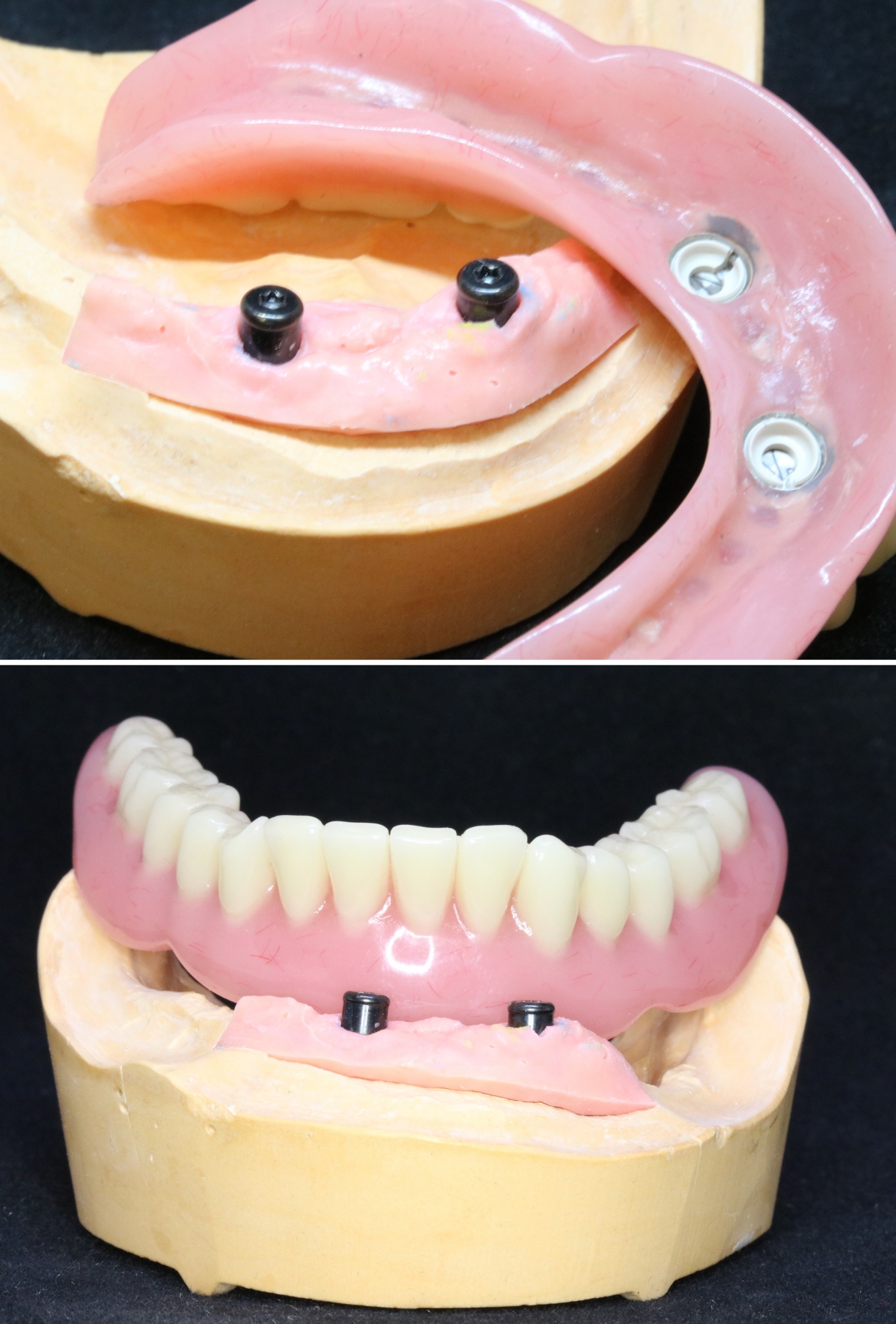
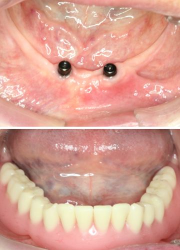
Uz 2 implantiem balstīta izņemamā protēze (akrila) (2)